Orthodontic Treatment In Chennai

Orthodontic treatment is a specialized branch of dentistry focused on correcting misaligned teeth and jaws to improve both appearance and function. At Best Dental Clinic Pondy Bazaar, T. Nagar and Dr. Julian’s Laser Dental Clinic Tambaram, we provide advanced orthodontic treatment  using the latest techniques and technology. Whether it’s crowded teeth, gaps, or bite issues, orthodontic care plays a vital role in enhancing oral health and boosting self-confidence. With modern advancements like clear aligners , ceramic braces, and customized appliances, treatment has become more accessible and comfortable for patients of all ages.

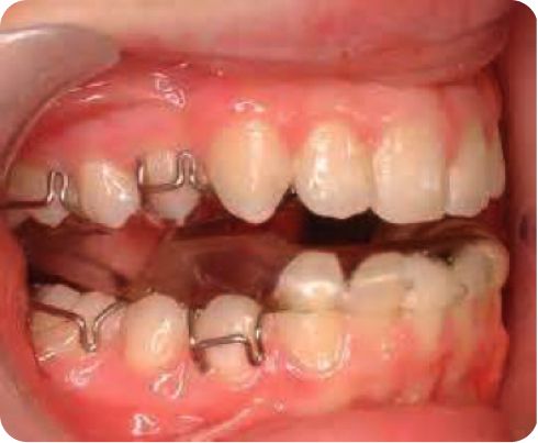
Metal Braces In Chennai

Metal Braces -orthodontic treatment

Metal aligners, commonly known as metal braces, are one of the most traditional and widely used forms of orthodontic treatment. Made from high-grade stainless steel, these braces consist of metal brackets that are bonded to the front of the teeth and connected by a thin archwire. The wire applies continuous pressure over time to gradually move the teeth into the desired position.

Despite the rise of more discreet options like ceramic braces and clear aligners , metal braces remain a popular choice—especially for children and teenagers—because of their durability, effectiveness, and affordability. They are highly efficient in treating complex orthodontic issues such as severe overcrowding, crossbites, and deep bites. Metal braces are also customizable; patients can choose colored elastics to add a personal touch to their smile.

Today’s metal braces  are smaller, lighter, and more comfortable than those used in the past. While they are more noticeable than other types, their proven results and lower cost make them a trusted option in modern orthodontic treatment.

Click Here To Check The Treament Cost

Ceramic Braces In Chennai

Ceramic aligners, often referred to as ceramic braces, are a more aesthetic alternative to traditional metal braces in orthodontic treatment. These braces function similarly to metal braces but use clear or tooth-colored ceramic brackets that blend with the natural color of your teeth, making them much less noticeable.

Ceramic braces are popular among teenagers and adults who want the effectiveness of fixed braces without the metallic appearance. They are a great option for patients who need comprehensive orthodontic correction but prefer a more discreet look. While the brackets are less visible, they still work efficiently to align teeth, correct bite issues, and improve overall dental health.

However, ceramic braces  may be slightly more fragile than metal ones, and they can stain if not properly cared for. Because of their cosmetic appeal and performance, they tend to be slightly more expensive than metal braces. Still, for those who value both aesthetics and function, ceramic braces offer a balanced option.

Click Here To Check The Treament Cost

Ceramic Braces -Orthodontic Treatment

Invisalign Aligners In Chennai

Aligners

At Best Dental Clinic Pondy Bazaar, T. Nagar and Dr. Julian’s Laser Dental Clinic Tambaram we offer Invisalign clear aligners, a modern and virtually invisible way to straighten teeth. Ideal for teens, adults, and professionals, Invisalign helps you achieve a confident smile without the hassle of traditional braces. Our company provides Invisalign and Smile Aligners, delivering promising results for international clients, which is why we focus on this advanced solution exclusively.

Invisalign consists of custom-made, transparent trays that gently move your teeth into their ideal position. Each set is worn for 2 weeks before progressing to the next, gradually aligning your teeth with precision. The aligners are removable, comfortable, and aesthetic, letting you eat, brush, and floss normally.

Invisalign is nearly invisible, made of smooth, BPA-free plastic for maximum comfort, and fully removable to maintain oral hygiene and enjoy meals without restrictions. Treatment outcomes are predictable, thanks to 3D digital scans, and fewer dental visits are required with app-based progress tracking. Invisalign is ideal for patients with crowded, spaced, or misaligned teeth, as well as those with overbite, underbite, crossbite, mild to moderate orthodontic issues, or relapse after previous treatment.

Click Here To Check The Treament Cost

Soft Splint In Chennai

A soft splint is a flexible dental appliance typically made from a soft, rubber-like material that is custom-fitted to a patient’s teeth. It is commonly used in orthodontic and dental care to manage conditions such as bruxism (teeth grinding), mild jaw misalignment, and temporomandibular joint (TMJ) disorders.

Unlike hard splints, which are made of rigid acrylic, soft splints offer more comfort and cushioning, making them ideal for nighttime wear. They help absorb the pressure from clenching and grinding, protect the teeth from damage, and relieve strain on the jaw muscles and joints.

Soft splints are easy to wear, non-invasive, and typically recommended for short-term or moderate use. However, since they are made from softer materials, they may wear out faster and are not suitable for treating severe bite or alignment issues. Regular dental checkups at Best Dental Clinic – Dr N Deenadayalan T Nagar, Chennai and Dr Julian’s Laser Dental Clinic Tambaram, Chennai are important to ensure the splint remains effective and fits properly.

Click Here To Check The Treament Cost

Soft splint used in orthodontic treatment

Retainers In Chennai

Retainer-orthodontic-treatment

Retainers are custom-made dental appliances used after orthodontic treatment  to help maintain the new position of your teeth. Once braces or aligners have successfully straightened the teeth, retainers play a crucial role in preventing them from shifting back to their original alignment—a process known as relapse.

There are two main types of retainers : removable and fixed. Removable retainers are usually made from clear plastic or acrylic and wire, and can be taken out while eating or brushing. Fixed retainers, on the other hand, are thin wires bonded to the back of the teeth, usually on the lower front teeth, providing continuous support.

Wearing retainers as instructed by your orthodontist is essential for long-term results. Skipping or inconsistently wearing them can undo months or years of orthodontic treatment. With proper care, retainers help preserve your smile and ensure that your teeth stay aligned and healthy for years to come.

Click Here To Check The Treament Cost

Sports Guard In Chennai

A sports guard , also known as a mouthguard, is a protective dental device worn over the teeth during physical activities and contact sports to prevent injuries. It acts as a cushion, absorbing the impact from blows to the face and reducing the risk of broken teeth, jaw injuries, and damage to the lips, tongue, and gums.

Sports guards are especially important for athletes involved in sports like football, hockey, basketball, boxing, and martial arts—where collisions and falls are common. There are three main types of mouthguards: stock, boil-and-bite, and custom-made. While stock and boil-and-bite options are available over the counter, custom-made sports guards designed by dental professionals—offer the best fit, comfort, and protection.

Wearing a sports guard  is a simple yet effective way to safeguard your smile. It is especially recommended for those undergoing orthodontic treatment with braces, as injuries can be more severe if metal brackets or wires come into contact with soft tissues. With regular use and proper care, a sports guard helps protect not just your teeth, but your overall oral health during sports activities.

Click Here To Check The Treament Cost

Sports Guard used in Orthodontic Treatment

Myofunctional Appliances In Chennai

myofunctional appliance

Myofunctional appliances are specialized orthodontic devices designed to correct jaw discrepancies and improve facial profiles in growing children. Unlike traditional braces that focus primarily on moving teeth, myofunctional appliances work by harnessing the natural forces of the facial and jaw muscles to guide the growth of the jawbones into a more harmonious position.

At Best Dental Clinic – Dr. N. Deenadayalan, T. Nagar and Dr. Julian’s Laser Dental Clinic, Tambaram, we utilize these appliances to treat developmental issues such as a (retruding lower or upper jaw ) short or small jaw, a protruding jaw (lower or upper jaw ) while the child is still growing. By addressing the root cause of the skeletal imbalance early, we can often reduce the complexity of future orthodontic treatment or even eliminate the need for jaw surgery later in life.

How They Work

Myofunctional appliances—such as the Twin Block, Activator, or Bionator—are typically removable, though some fixed versions exist. They function by holding the jaw in a specific position, which retrains the muscles and stimulates bone growth in the desired direction. These appliances are most effective during a child’s “growth spurt,”

Click Here To Check The Treament Cost

Habit Breaking Appliance In Chennai

Oral habits such as thumb sucking, tongue thrusting, or mouth breathing are common in early childhood. However, if these habits persist beyond the age of 5 or 6, they can lead to significant dental issues, including protruding front teeth, open bites, and narrowed arches. Habit breaking appliances are specialized orthodontic tools designed to help children discontinue these involuntary behaviors and ensure healthy jaw development.

At Best Dental Clinic – Dr. N. Deenadayalan, T. Nagar and Dr. Julian’s Laser Dental Clinic, Tambaram, we offer gentle and effective solutions to help your child overcome these habits before they cause long-term damage to their facial structure and dental alignment.

Common Habits Addressed

  • Thumb Sucking: Prolonged sucking can push the upper teeth forward and alter the shape of the roof of the mouth.

  • Tongue Thrusting: When the tongue pushes against the front teeth during swallowing, it can create a gap between the upper and lower teeth (open bite).

  • Mouth Breathing: Often linked to jaw narrowness, this habit can affect the overall development of the face.

    Click Here To Check The Treament Cost

     

Habit breaking appliance

Why Choose Us

At Best Dental Clinic – Dr N Deenadayalan T Nagar, Chennai and Dr Julian’s Laser Dental Clinic Tambaram, Chennai, we are committed to delivering safe, advanced, and personalized dental care for every patient.

👩‍⚕️ Experienced Specialists

Our expert dentists and pediatric specialists ensure gentle, effective treatments for all ages

💎 Advanced Technology

We use modern equipment like dental lasers, digital X-rays, and advanced imaging for precise results.

🌟 Patient-Centered Care

We create a calm, friendly environment—especially for children—to make every visit stress-free.

🦷 Complete Dental Solutions

From cosmetic smile makeovers to child care and advanced surgeries, we cover all dental needs under one roof.

🏥 Trusted Clinics in Chennai

With two reputed branches in T Nagar and Tamabram, we are among the city’s most trusted dental care providers.

🔒 Safe & Hygienic Environment

We follow strict sterilization and hygiene protocols to ensure your complete safety during every procedure.

💬Frequently Asked Questions ?

Orthodontic Treatment FAQ - Best Dental Clinic
How do I know if I need orthodontic treatment?
✅ If you notice crooked teeth, gaps, crowded teeth, overbite, underbite, crossbite, or jaw discomfort, you may benefit from orthodontic treatment. At Best Dental Clinic – Pondy Bazaar, T. Nagar, Chennai and Dr Julian’s Laser Dental Clinic, Tambaram, Chennai, our orthodontists perform a thorough evaluation including X-rays and scans to determine if braces, aligners, or other appliances are needed.
Which type of braces or aligners is best for me?
✅ It depends on your age, lifestyle, dental needs, and cosmetic preferences. Metal braces are durable and effective for complex cases, ceramic braces are less visible, and clear aligners offer a nearly invisible option. At Best Dental Clinic – Pondy Bazaar, T. Nagar, Chennai and Dr Julian’s Laser Dental Clinic, Tambaram, Chennai, we help you choose the most suitable option after a detailed assessment.
Will getting braces or aligners be painful?
✅ You may experience mild discomfort or soreness when braces are first applied or adjusted. Clear aligners may cause pressure as teeth gradually move, but pain is generally minimal and temporary. At Best Dental Clinic – Pondy Bazaar, T. Nagar, Chennai and Dr Julian’s Laser Dental Clinic, Tambaram, Chennai, we provide guidance and care to make your experience as comfortable as possible.
How long will my orthodontic treatment take?
✅ Treatment duration varies depending on the complexity of your dental issues. Simple cases may take 6–12 months, while more severe misalignments can take 18–24 months. Your orthodontist at Best Dental Clinic – Pondy Bazaar, T. Nagar, Chennai or Dr Julian’s Laser Dental Clinic, Tambaram, Chennai will provide a personalized timeline.
Will braces affect my daily life, like eating or speaking?
✅ Initially, you might notice some difficulty chewing or speaking, but most patients adapt within a few days. Certain foods should be avoided to prevent damage to braces. At Best Dental Clinic – Pondy Bazaar, T. Nagar, Chennai and Dr Julian’s Laser Dental Clinic, Tambaram, Chennai, we provide detailed instructions on diet, oral care, and speech adjustment during treatment.
What are retainers, and why are they necessary after treatment?
✅ Retainers are custom-made devices worn after braces or aligners to keep teeth in their new position. Without them, teeth can gradually shift back. At Best Dental Clinic – Pondy Bazaar, T. Nagar, Chennai and Dr Julian’s Laser Dental Clinic, Tambaram, Chennai, we provide both fixed and removable retainers and explain how to use them for long-term results.
Can adults undergo orthodontic treatment, or is it only for children?
✅ Orthodontic treatment is effective at any age, provided your teeth and gums are healthy. Adults may prefer ceramic braces or clear aligners for a discreet look. At Best Dental Clinic – Pondy Bazaar, T. Nagar, Chennai and Dr Julian’s Laser Dental Clinic, Tambaram, Chennai, we tailor treatment plans to suit adult patients’ needs and lifestyles.
Are there any alternatives to traditional braces?
✅ Yes. Clear aligners, ceramic braces, lingual braces (placed behind teeth), and functional appliances can be alternatives depending on your case. At Best Dental Clinic – Pondy Bazaar, T. Nagar, Chennai and Dr Julian’s Laser Dental Clinic, Tambaram, Chennai, we recommend options that balance aesthetics, comfort, and effectiveness.
Can orthodontic treatment fix bite and jaw problems, not just crooked teeth?
✅ Absolutely. Braces and aligners can correct overbites, underbites, crossbites, open bites, and jaw misalignment, improving chewing, speech, and overall oral health. At Best Dental Clinic – Pondy Bazaar, T. Nagar, Chennai and Dr Julian’s Laser Dental Clinic, Tambaram, Chennai, we focus on both functional and aesthetic results.
How do I take care of my teeth during orthodontic treatment?
✅ Maintaining oral hygiene is crucial. Brush and floss carefully, avoid sticky or hard foods, attend regular check-ups, and follow your orthodontist’s instructions. At Best Dental Clinic – Pondy Bazaar, T. Nagar, Chennai and Dr Julian’s Laser Dental Clinic, Tambaram, Chennai, we provide personalized oral care instructions to prevent cavities, staining, or appliance damage during treatment.
What if I play sports—do I need special protection with braces?
✅ Yes. Custom sports guards protect your teeth, braces, and gums from injuries during contact sports. At Best Dental Clinic – Pondy Bazaar, T. Nagar, Chennai and Dr Julian’s Laser Dental Clinic, Tambaram, Chennai, we design custom-fit guards to ensure safety and comfort for athletes.
Are there any risks or side effects I should know about?
✅ Common mild effects include temporary soreness, irritation of the cheeks or lips, or slight loosening of teeth during adjustments. Serious complications are rare. At Best Dental Clinic – Pondy Bazaar, T. Nagar, Chennai and Dr Julian’s Laser Dental Clinic, Tambaram, Chennai, we monitor every step of your treatment to minimize risks and ensure safe, effective results.